当前位置:首页 > 医疗类 > LMCHK > 考试资讯 > 项目动态 >
2026-01-06 10:59:53
浏览量:23

备考经验、考试政策、医护求职、1v1咨询服务

药物逆转阿尔茨海默病小鼠模型(图源:Cell Reports)
不再只盯着Aβ和Tau,
研究者换了一种思路!!!
长期以来,AD研究主要围绕两大病理标志展开:
β淀粉样蛋白(Aβ)斑块;
Tau蛋白神经原纤维缠结。
然而,针对这两条路径的干预,在临床上的回报并不理想。于是,研究团队提出了一个不同的问题:为什么有些人,大脑里同样存在大量病理沉积,却依然保持良好的认知能力?
这类人群被称为NDAN(Nondemented with Alzheimer’s Neuropathology)。答案,可能不在"垃圾蛋白有多少",而在于大脑是否具备足够的恢复力。
NAD+,被重新推到舞台中央?
研究将焦点放在了NAD+上。这是细胞能量代谢、线粒体功能、DNA修复和抗应激反应中的关键辅酶。
既往研究发现:
AD模型大脑中,NAD+水平明显紊乱;
但直接补充NAD+前体,存在潜在安全隐患。
于是,本研究的目标转变为:不是简单提高NAD+,而是恢复其生理稳态。
P7C3-A20的作用机制,正是通过激活NAD+合成通路中的限速酶,帮助细胞回到"合理运转区间"。
双模型、全流程,
尽量贴近人类疾病!
研究采用了两种机制不同的小鼠模型:
5xFAD小鼠:模拟淀粉样蛋白驱动的阿尔茨海默病(AD)。这类小鼠会早期产生大量Aβ斑块,并伴随tau蛋白异常磷酸化、血脑屏障破坏、神经炎症等一系列病理变化,出现明显的学习和记忆障碍。
PS19小鼠:模拟tau蛋白驱动的AD。这类小鼠过度表达突变的人类tau蛋白(P301S),形成类似人类的神经原纤维缠结,导致神经元死亡和认知衰退。
实验不仅覆盖疾病早期干预,也纳入了明确进入晚期后的治疗观察。评估体系同样全面:行为学测试、分子生化分析、组织病理、蛋白质组学,以及人脑微血管内皮细胞实验,多维交叉验证。
晚期干预后,发生了什么?
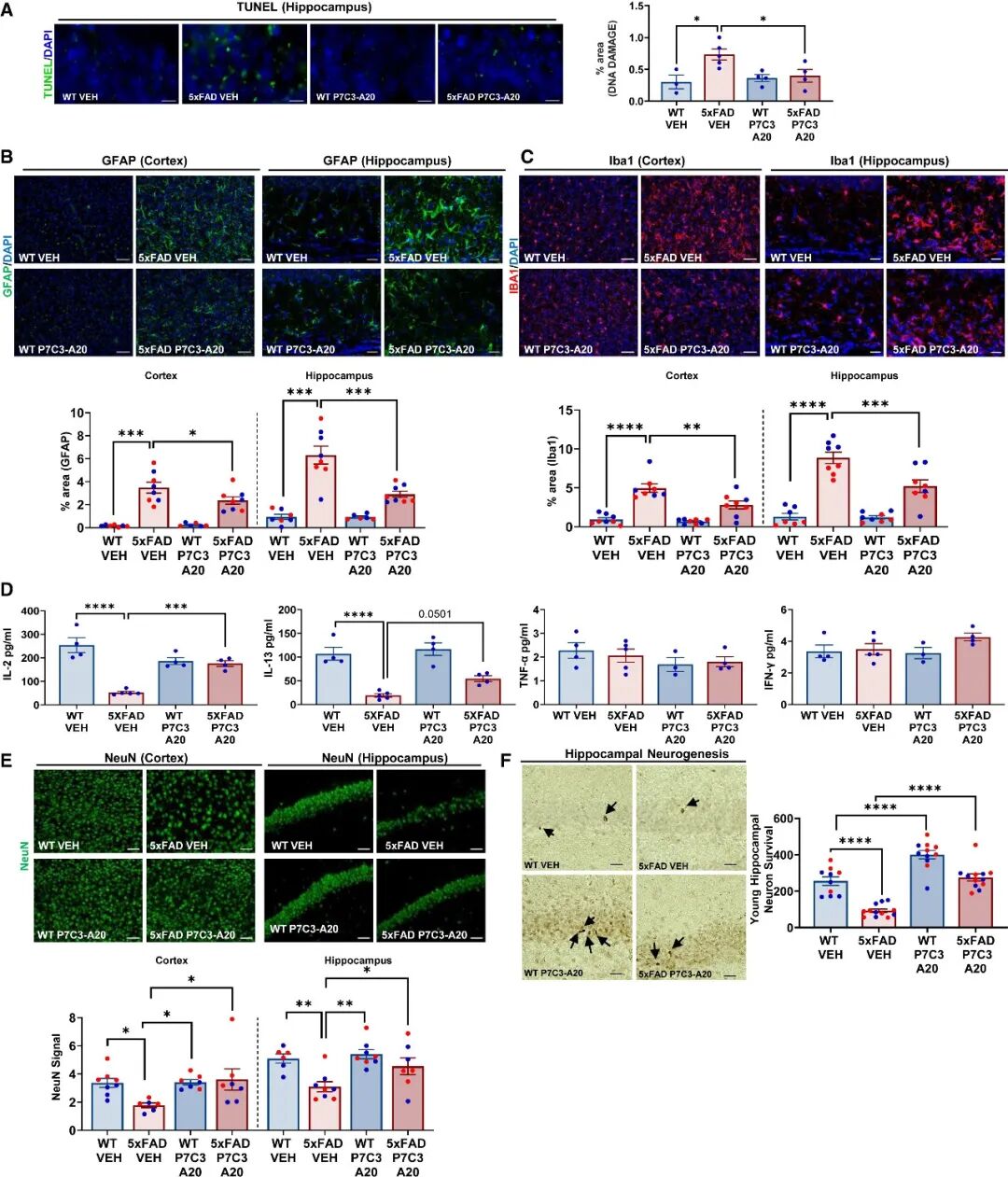
在经典的莫里斯水迷宫测试中,接受P7C3-A20治疗的晚期AD小鼠,空间学习和记忆能力接近健康对照组;而未治疗组,仍表现出明显障碍。

P7C3-A20保护老年5xFAD小鼠神经元并修复DNA损伤
更重要的是,病理层面的变化并未停留在"表面改善":
淀粉样斑块沉积减少;
血脑屏障结构得到修复;
星形胶质细胞和小胶质细胞的炎症状态趋于稳定;
海马体中新生神经元数量增加。

一是预防性给药:在5xFAD小鼠症状出现前(2月龄)开始用药,持续至症状初现阶段(6月龄),评估是否可延缓或阻断疾病进程。
二是逆转性给药:在5xFAD小鼠已出现显著病理改变和认知损伤的晚期阶段(6月龄)启动治疗,持续至老年期(12月龄),检验疾病状态是否可被改善。
三是晚期tau模型验证:在症状严重、接近终末期的PS19小鼠(11月龄)中进行短程给药,评估治疗效果的普适性。

P7C3-A20恢复老年5xFAD小鼠脑功能(图源:Cell Reports)
整个研究过程中,小鼠接受了系统性评估:通过行为学实验(新物体识别、水迷宫、转棒等)检测认知与运动功能;采用生化分析测定NAD⁺水平及Aβ、tau相关指标;
利用组织学方法观察斑块沉积、神经元存活、神经炎症、血脑屏障完整性、DNA损伤与氧化应激;结合海马蛋白质组学解析全局分子变化;并通过细胞实验验证药物在氧化应激条件下对人脑微血管内皮细胞的保护作用。
在PS19模型中,即便处于生命周期后期、Tau病理高度进展的小鼠,其认知功能仍显示出一定程度的回调趋势。
从小鼠走向人类,
大脑"恢复力"被验证!
研究并未止步于动物模型。
通过对NDAN人群脑组织的分析发现:他们体内NAD+合成与消耗体系保持平衡,而典型AD患者这一系统则明显失衡。
进一步的跨物种蛋白质组学分析,筛选出多组在人类与小鼠中趋势一致、且在治疗后回归正常的关键蛋白网络,涉及线粒体功能、突触结构、RNA代谢与免疫调控。
♀️这为"大脑恢复力"这一概念,提供了分子层面的支持。
对临床医生来说,这意味着什么?
研究还发现,
血浆p-tau217水平在治疗后明显下降

AD逆转的分子特征及人类数据关联(图源:Cell Reports)
这为未来的临床监测提供了现实路径:不再依赖频繁且昂贵的脑部影像,而是通过血液指标动态评估疗效。
当然,从基础研究到临床实践,依然存在大量未知:人类AD的病因更加复杂,合并血管、代谢问题的情况非常普遍,这些都需要更严谨的临床试验验证。
为什么这类研究,
越来越多来自美国医学体系?
很多人第一次读到这样的研究,心里都会闪过一个念头:这离我很远。
但你仔细想想,这项研究并不是发生在某个遥不可及的地方,它诞生在一群接受标准美国医学训练的医生和科研人员手中,他们熟悉疾病的分子机制,也清楚临床世界卡在哪里。
他们知道,阿尔茨海默病的问题,从来不只是斑块清不清得掉,而是大脑是否还有能力,重新站稳。这种思路的差异,往往不是天赋,而是医学训练路径的差异。
在美国医学体系里,
医生被反复训练去问这样的问题:
这个病,为什么会这样发展?
如果假设错了,是否还有另一条路径?
基础研究,能不能回到患者身上?
所以你会看到,很多改变叙事方向的研究,不是停留在发现一个新分子,而是一步步把机制、模型、临床可能性连成一条线。
这也是为什么,越来越多医生在职业的某个阶段,会重新审视自己:是只做执行医学的人,还是有能力参与医学方向讨论的人?
而USMLE,恰恰是这条路径的起点。它考的,从来不只是你记住了多少知识点,而是你是否具备理解疾病、拆解研究、连接基础与临床的能力。
它考的,从来不只是你记住了多少知识点,而是你是否具备理解疾病、拆解研究、连接基础与临床的能力。
当你能读懂一项像P7C3-A20这样的研究,你就已经站在了医学变化发生的那一侧。
也许今天,你只是转发了这篇文章。但几年后,你可能会出现在这样的研究团队里,参与的,不只是学习结果,而是定义问题本身。医学的前沿,从来不会等人。但你可以,选择靠近它。这,正是我们持续深耕USMLE培训的原因。
参考文献:
「1」Case Western Reserve University. P7C3-A20 restores cognitive function in late-stage Alzheimer’s mouse models and identifies potential therapeutic targets in human brain. Cell Reports Medicine, 2025.
「2」NDAN (Nondemented with Alzheimer’s Neuropathology) cohort studies. Brain resilience and cognitive preservation in Alzheimer’s pathology. Journal of Neuroscience, 2024.
「3」Morris R. Developments in water maze methodology for assessing spatial learning and memory in rodents. Nature Protocols, 2017.
♀️提醒一下大家,这次FSMB平台切换只是报名入口变化的一部分。回顾之前,MyIntealth系统上线也曾改变过报名和ECFMG认证流程,费用上涨、认证顺序调整、纸质表格取消……这些都是大家在规划今年考试时可能遇到的情况。

点击上文查看往期USMLE考试政策变化详细信息
提前行动、理清费用和认证顺序,能够节省时间和成本。威普爱生伴您左右,放心备考才是正事!现在行动,就是你赢在未来的第一步!



考USMLE有啥用?难道对我的职场晋升速度和上升空间有帮助?

考经分享 | USMLE Step1:压箱底备考宝典+通关策略全揭秘!

为了帮助大家备考,特别是对于那些缺乏明确方向的考生,我们提供USMLE培训学习课程。在这个课程中,资深老师将全程耐心指导,从学习计划到考前冲刺,我们拥有详细的课程内容和丰富的题库,为您的备考旅程提供全方位支持。
USMLE是一项与执业相关的考试,其相关考试内容有针对性,对于从事临床医学的医务人员具有实际帮助。这项考试涵盖了临床医学的重要领域,因此对临床医生提供了实用指导。
如果您希望获取更多关于USMLE美国医生执业考试的考试资讯和备考建议,欢迎观看我们的近期直播/往期精彩直播回放。
为了帮助大家充分备考,对于完全没有方向的同学,可以考虑选择我们的USMLE专业精品学习课程,专业老师将会从学习计划到考前冲刺,给予全程耐心的指导,我们拥有详细课程及海量题库,丰富您的备考旅程~






部分内容展示(来源:USMLE美国医生考试培训)
我们的师资团队由经验丰富、业内资深的医学专业人士组成,他们不仅精通USMLE考试的各个方面,更具备丰富的教学经验。他们深知考试的复杂性,因此制定了针对性强、深度广的教学计划,确保学生能够全面理解每个考试内容。
与普通课程不同的是,我们的师资团队注重个性化指导,根据学生的学科水平和需求,提供有针对性的建议和辅导。这种贴心的教学方式不仅增强了学生的学科能力,更培养了独立学习和解决问题的能力。

☝点击即可免费试听☝(来源:USMEL试听课程)
选择我们的USMLE专业精品学习课程,不仅是对个人医学事业的投资,更是对未来医学领域的更高挑战的积极迎接。与我们携手并进,一起实现赴美行医之路吧!
美国医生-USMLE
“美国职业医生职业资格考试”
USMLE(United States Medical Licensing Examination)美国医生执照考试,由美国联邦医药协会(FSMB)和美国国家考试部(NBME)主办的,为想要在美国行医的人提供资格考试。
每个Step有4次考试机会
Step 1:Basic Knowledge
Step 2:Clinical Knowledge&(原Clinical Skills,变为OET Medicine医学职业英语考试+Pathway)
Step 3:FIP&CAM独立实践基础和高级临床医学

为什么要考美国医生?
✅按件取酬:看一个病人就收一份诊金,做一次手术就收一次手术费,收入完全归医生所得,医院不得截留。
✅社会地位:有医生搬入的社区甚至当地的房价都会升高,优质中产。
✅药不挂钩:患者其它的费用,如药费、检查费、床位费与医生没有任何关系。不会出现“以药养医”的现象。
✅没有职称:Attending Physician具独立的决定权,无需永远跑在“晋升”的路上。
图片来源:美国医生的ECFMG证书(上岸学员分享)
◼本科5年制或以上临床医学专业的毕业生,包含一年轮转科室实习经验;
◼本科5年制或以上的医学毕业生,包含一年轮转科室实习经验,有临床类别的《中国医师执业证》;
◼本科5年制或以上的临床医学专业的大三及以上在读医学生,学校提供在读证明;◼须在WHO名单上的医学院本科临床专业毕业/修满学分的大三在校生(专升本与非临床专业的学生可通过申述方式参加考试,本科毕业医学院若不在名单上可联系ECFMG确认是否有考试资格);
◼中国本科5年制或以上麻醉学、医学影像学、眼视光医学、儿科学、精神病学、放射医学专业的医学生(学校须在WHO名单上)
♀️满足其中任何一项条件即可申请。

考试毕业院校查询(来源:USMLE官网)
专升本与非临床专业的学生可尝试申述的方式参加考试,本科毕业医学院若不在名单威普可以帮忙联系ECFMG确认是否有考试资格!
预计考试前6-9个月(需要学校配合准备资料)每个月除了周末外,有考位的时间都可以参加考试!
Step1:全球Prometric考点均可参加考试,考点有北京、上海、广州考试。
Step2CK:全球Prometric考点均可参加考试,考点有北京、上海、广州考试。
OET-Medicine:可以选择在中国香港或者中国台湾进行考试。
Step3:在美国本土考试,无特定地点。
-End-
■ DEPTH
更多精彩,戳下方图片

微信改版了
现在刷到我们的 摸鱼 考经/学习/资讯贴全凭缘分
大家记得把医小护“星标3连”





点击"阅读原文"获取海外医护资格免费评估