
备考经验、考试政策、医护求职、1v1咨询服务
很多准备ARDMS的同学都有一个共同感受:知识点看过很多,笔记也记了不少,但一旦进入做题阶段,仍然会出现一种情况,题目看着熟悉,但答案依然不敢确认。
原因往往不是知识点不够,而是没有建立完整的临床逻辑框架。
ARDMS特别是RDCS考试,越来越强调一件事:Clinical reasoning(临床推理能力)。今天我们用一个高频知识点Pericardial Effusion(心包积液),把ARDMS的出题逻辑和备考重点系统梳理一遍。
先理解心包的基础解剖结构:
从Pericardium的层次关系,
看清心包腔形成的解剖框架!
在理解Pericardial Effusion(心包积液)的超声表现之前,需要先清楚心包(Pericardium)的基础解剖结构。只有理解其层次关系,才能在影像学上正确识别异常。从结构上看,心包主要由两大部分组成:
纤维心包(Fibrous pericardium):
位于心包的外层,是一层较厚且坚韧的结缔组织结构,其主要作用是固定心脏的位置,并限制心脏过度扩张。由于其弹性较差、扩张能力有限,当心包腔内液体迅速增加时,就容易导致心脏舒张受限甚至血流动力学改变,这是后续出现心脏压塞(Cardiac tamponade)的重要结构基础。
浆膜心包(Serous pericardium):
位于纤维心包的内侧,是一层相对较薄的浆膜结构。根据解剖位置不同,又可进一步分为两个层次:
壁层(Parietal layer):紧贴纤维心包内面;
脏层(Visceral layer):覆盖于心脏表面,又被称为心外膜(Epicardium)。
这两层浆膜之间形成一个潜在的腔隙,即心包腔(Pericardial cavity)。
在正常生理状态下,心包腔内通常仅含有约20–30ml的心包液(Pericardial fluid)。这些液体主要起到润滑作用,使心脏在持续搏动过程中能够减少摩擦、维持顺畅运动。
从超声影像角度来看,在正常情况下,这一腔隙内的液体量非常少,因此心包腔通常难以被直接显示。在二维超声中,往往只表现为一条较为明亮的线状强回声结构。
当感染、炎症、肿瘤、创伤或系统性疾病等因素导致心包腔内液体异常增多时,原本难以识别的潜在腔隙就会被扩张,从而形成Pericardial Effusion(心包积液),并在超声上表现为心脏周围出现无回声或低回声液性暗区。
理解心包积液的分布规律:
从重力依赖区,
看ARDMS考点的影像逻辑!
在Pericardial Effusion(心包积液)的判断中,一个关键但容易被忽略的逻辑是:液体在心包腔内的分布并不是随机的,而是受到重力影响的。
由于液体具有流动性,在人体处于不同体位时,心包积液往往会优先聚集在相对低位的区域。这种重力依赖分布(gravity-dependent distribution),正是ARDMS考试中经常考查的影像判断逻辑。
在临床及超声检查中,大多数患者处于仰卧位(supine position)。在这种体位下,心包腔的相对低位区域通常位于左心室后方。因此,当心包腔内刚刚开始出现少量液体时,积液往往优先出现在:左室后壁(Posterior LV wall)附近。
在超声图像上,这通常表现为左心室后方出现一条或一小片无回声区(Echo-free space)。随着液体量逐渐增加,积液会开始向心包腔的其他区域扩展,例如:
右室前壁(Anterior RV wall);
心脏侧方区域;
甚至形成环绕心脏的液性暗区(circumferential effusion)
在ARDMS考试中,很多题目并不会直接写出“Pericardial Effusion”,而是通过超声描述来提示考生进行判断。
例如常见题干描述:"Echo-free space posterior to LV."很多考生看到这种描述时容易犹豫,但在ARDMS题目逻辑中,这类信息往往是在指向Small pericardial effusion(少量心包积液)这一影像学判断。

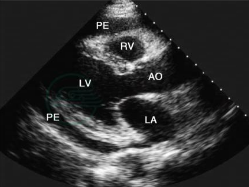
图片信息来源:胸骨旁长轴切面(PLAX)示心包积液
也就是说,当超声仅在左心室后方出现一小段echo-free space(无回声区)时,往往意味着心包腔内刚刚出现少量液体积聚,而尚未形成环绕心脏的明显积液。理解这一重力分布逻辑,不仅可以帮助快速识别超声图像,也能在考试中迅速锁定正确选项,避免被复杂描述干扰判断。
从病理性质理解心包积液类型:
ARDMS考试常见考查方式!
一般来说,心包积液可按照液体性质分为以下几类:
漏出液(Transudate):
漏出液通常与全身循环压力改变或体液分布异常有关,液体蛋白含量较低。较常见的原因包括:Congestive heart failure(充血性心力衰竭),在这种情况下,由于静脉压力升高及体液潴留,液体可能逐渐渗入心包腔,从而形成相对清亮的积液。
浆液性渗出(Serous exudate):
这种类型通常与炎症反应或感染相关,液体中蛋白含量相对较高。在临床上,许多感染性或炎症性心包疾病都可能形成浆液性渗出。
脓性积液(Purulent effusion):
脓性积液提示严重感染性过程,在影像上有时可见内部回声增多或絮状结构。常见病因包括:Bacterial pericarditis(细菌性心包炎);Viral pericarditis(病毒性心包炎)。在感染较重时,心包腔内可能形成混浊甚至脓性液体。
乳糜性积液(Chylous effusion):
乳糜性心包积液较为少见,多与胸导管损伤或淋巴系统异常有关,例如:胸导管阻塞;淋巴系统疾病;手术或创伤损伤,其液体通常富含脂质成分(chyle)。
血性积液(Hemorrhagic effusion):
血性心包积液在临床上具有较高的警示意义,往往提示严重基础疾病或损伤。
血流动力学变化:
理解Pericardial Tamponade!
从超声影像识别心包积液:
考试中需要重点掌握的典型表现!
心包腔内出现液性暗区:
这是心包积液在超声上的基础表现。当液体在心包腔内聚集时,在二维超声图像中通常表现为无回声或低回声区域(Echo-free space),位于:脏层心包(Visceral pericardium)与壁层心包(Parietal pericardium)之间。
在少量积液时,这种无回声区往往首先出现在左心室后方,随着液体逐渐增多,液性暗区可能会向心脏周围扩展,甚至形成环绕心脏的表现。
在ARDMS考试题目中,题干经常会通过类似描述来提示考生,例如:"Echo-free space surrounding the heart"或"Echo-free space posterior to the LV",这些表述往往是在提示Pericardial Effusion(心包积液)的存在。
大量积液时出现心脏摆动征:
当心包腔内液体明显增加时,心脏会被大量液体包围,从而失去原有的稳定支撑。在这种情况下,心脏在搏动过程中可能会在心包液中呈现前后或左右摆动的运动状态,这种现象被称为:Swinging heart sign(心脏摆动征)。
在超声图像中,可以看到整个心脏仿佛悬浮在液体中,并随心动周期出现明显摆动。这一征象通常提示较大量心包积液,并可能伴随血流动力学影响。
在ARDMS考试中,Swinging heart sign被认为是典型且具有提示意义的影像特征。当题目描述心脏在液体中明显摆动时,往往是在提示考生考虑large pericardial effusion(大量心包积液),甚至需要进一步警惕Cardiac Tamponade(心包填塞)的可能。
因此,在做题时,一旦看到"heart swinging within fluid”或类似影像描述,通常可以迅速将判断方向锁定在心包大量积液相关诊断上。
心包积液如何进行定量评估:
常见的Semi-quantitative判断标准!
在ARDMS考试中,对于Pericardial Effusion(心包积液)的评估,通常不会要求进行严格的体积计算,而是采用一种半定量评估方式(Semi-quantitative assessment)。
这种方法主要依据超声影像中液性暗区(Echo-free space)的分布范围以及宽度指标来进行分级判断。
常见的分类标准大致如下:
少量积液(Small effusion):
通常只在左心室后方可以观察到一条较窄的无回声区(Echo-free space)。其特点包括:多见于Posterior LV wall(左室后壁);未形成环绕心脏的液体分布;宽度通常<10mm。如果题干描述仅在LV posterior区域出现echo-free space,往往就是在提示small pericardial effusion。
中量积液(Moderate effusion):
随着液体量增加,积液不再局限于左室后方,而是开始向心脏周围扩展。其典型特点包括:心脏周围多个区域均可见液体,在不同切面均可观察到液性暗区,液体宽度通常约10–20mm。此时在影像上往往可以看到 心脏被部分液体环绕,但仍未形成明显的心脏摆动。
大量积液(Large effusion):
当心包腔内液体明显增多时,液体会广泛环绕心脏分布。其主要影像特征包括:心脏周围广泛液性暗区;宽度通常>20mm;在某些情况下可出现Swinging heart sign(心脏摆动征)。当积液达到这一程度时,需要进一步关注是否出现血流动力学受压表现,并警惕Cardiac Tamponade(心包填塞)的可能。
在ARDMS考试中,还有一个常见的干扰点:Pleural Effusion(胸腔积液)。

图片信息来源:胸骨旁短轴切面(PSAX)示心包积液
在某些超声切面上,胸腔积液与心包积液可能看起来非常相似,特别是在心脏后方区域,很容易造成误判。
因此在判断时,需要重点关注解剖位置(anatomical relationship),例如:积液是否位于descending aorta(降主动脉)前方,液体是否位于心包反射范围内。通过这些结构标志,可以帮助区分Pericardial Effusion与Pleural Effusion。
ARDMS考试的答题思路:
考查的不只是知识点,
而是临床与影像的整合能力!
很多准备RDCS的同学在复习过程中,容易陷入一个常见误区:不断背诵知识点,却没有建立完整的知识结构。
但实际上,ARDMS考试的设计逻辑并不是单纯考记忆,而是更强调临床情境下的综合判断能力。大多数题目通常会按照一个固定的结构展开:Clinical history(病史背景)、Vital signs(生命体征)、Echo findings(超声影像表现)。
在给出这些信息之后,题目往往会提出类似的问题,例如:Most likely diagnosis(可能诊断)、Next best step(下一步处理)、Hemodynamic implication(血流动力学意义),也就是说,ARDMS考查的是一个能力:你能不能把影像表现、临床信息和病理机制联系起来。
这也是为什么很多考生会产生一种熟悉的感觉:知识点似乎都看过,概念也理解过,但在做题时却仍然会犹豫。原因并不是知识不够,而是缺少一个完整的临床思维框架。一旦能够建立起"影像→病理→临床决策"的逻辑链条,很多看似复杂的ARDMS题目,其实都会变得非常清晰。
知识背会了,
为什么还做不对题?看这里
很多同学在备考ARDMS时都会遇到同样的困惑:"知识点都记住了,为什么做题还是犹豫?"这其实不难理解,难点从来不是知识量,而是能不能把解剖结构、病理变化、影像表现和临床意义串联起来,形成完整的医学思维框架。
我们ARDMS培训的课程,将零散知识梳理成一套可复用的思维模式,让你在面对临床情境题时,能够清晰识别关键点、提升判断准确性、增强答题信心。
当你真正掌握了这种思维方式,再复杂的题目也会变得清晰可解。这也是为什么很多通过我们培训的同学,在SPI和RDCS考试中,能够做到心中有数、手中有招。
备考ARDMS,不只是背题,而是学会思考、学会串联、学会用影像说话,我们愿意陪你把每一个难点,都变成可掌控的知识和技能。



“3月13日”周五19:30
ARDMS-SPI备考全流程拆解:
难点、误区与提分策略!
直播播看点抢先预览:
我为什么决定考ARDMS?
SPI没你想得那么简单,到底难在哪里?
备考方法全拆解,让你少走弯路!
犹豫报名的你,这些建议一定要听!
特邀ARDMS上岸学员: Z医生
三个月速通SPI考试并高分通过!
直播时间:
北京时间:3月13日(周五)晚上19:30
预约福利:
提前预约直播,即可免费领取!
ARDMS考试精选例题汇总;
ARDMS考试精选例题答案含解析;
指定课程套餐低至8折优惠权益;
医学词根手册电子版demo;
更有更新课程免费试听等你来拿!
(仅限前10名)

▲扫码预约直播,享受Q&A环节优先解答权▲
预约+直播链接:http://navo.top/BzaA3a
仅在直播间,大家不要错过啦!
为了帮助考生高效备考,课程涵盖以下内容,课程不仅包含考前冲刺串讲,还提供真题演练,让考生更有针对性地备考,提升通关率。并由资深讲师带领深入讲解:
(具体课表详见课程详情)

早准备,早拿证,早规划!如果你也在思考未来的职业出路,想要掌握更多资源、获得更稳定的职业发展,欢迎加入ARDMS备考行列。
正在备考ARDMS的您,可能会遇到各种挑战,时间不够、基础薄弱、年龄让您有些焦虑……但是,别忘了,您并不孤单!
每个人的备考之路都是不同的,但也正是这些备考的经历,可能会给您带来启发和动力。以下几篇文章,也许正是您现在需要的"备考良方"!




往期精选:ARDMS备考经验分享(仅展示部分)
为了帮助大家充分备考,对于完全没有方向的同学,可以考虑选择我们的ARDMS美国超声师备考精品学习课程,威普老师将会从学习计划到考前冲刺,给予全程耐心的指导,我们拥有详细课程及海量题库,丰富您的备考旅程~






部分内容展示(来源:ARDMS美国超声考试培训)
我们的师资团队由经验丰富、业内资深的超声领域人士组成,他们不仅精通ARDMS考试的各个方面,更具备丰富的教学经验。他们深知考试的复杂性,因此制定了针对性强、深度广的教学计划,确保学生能够全面理解每个考试内容。
与普通课程不同的是,我们的师资团队注重个性化指导,根据学生的学科水平和需求,提供有针对性的建议和辅导。这种贴心的教学方式不仅增强了学生的学科能力,更培养了独立学习和解决问题的能力。

☝点击即可免费试听☝(来源:ARDMS试听课程)
选择我们的ARDMS精品学习课程,不只是学习,更是为超声事业注入长期价值;这是一份直面未来挑战的勇气,更是一份迈向国际舞台的决心。携手同行,让“赴美超声之路”成为你实现突破与成就的起点!
美国超声师(ARDMS)
“美国注册超声诊断医师协会”
对于不甘在国内行医,想要赴海外行医,又可以轻易成功的路径,医疗技师类岗位是性价比非常不错的路径。
全美超声技师年薪在8-11万+美元之间,在加州等地一般有10万+美元的待遇,薪资也不低,吸引国内广大学生或者医生想要赴美从事超声师。
可以通过申请美国有认证资格课程的专业学院进行就读,或者申请通过ARDMS考试,获得证书即可,并且此证书在美国、国内的外资医院、以及欧洲加拿大、中国香港都可使用,含金量很高。

图片来源:ARDMS-美国超声师执照
ARDMS(American Registry for Diagnostic Medical Sonography)颁发的注册认证证书,中国香港、欧洲和亚洲国家均承认其权威性。
ARDMS成员广泛,就业前景很好,在中国香港、美国、加拿大都可获聘请。
学历要求:二者满足其中一个
①医疗、护理相关专科学历;
两年的医护相关大专即可
②本科学士学位(不限专业);
工作经验:医院开具的超声工作证明!
注:非医疗相关人员,持本科学历也可报考!
ARDMS申请时间只要有考位每个月都可申请,每周一到周五时间是早上8点或者下午2点为考试时间。
-End-
■ DEPTH
更多精彩,戳下方图片

微信改版了
现在刷到我们的 摸鱼 考经/学习/资讯贴全凭缘分
大家记得把医小护“星标3连”





点击"阅读原文"获取海外医护资格免费评估!
24小时贵宾咨询热线:400-969-7908
扫码关注公众号咨询